|
Inserita in Salute il 22/03/2013
da redazione
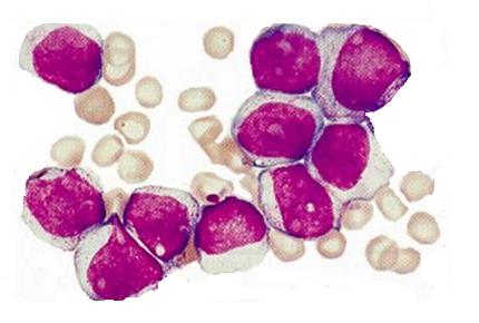
Leucemia: possibile riprogrammare cellule
È una terapia che modifica geneticamente le cellule del sistema immunitario dei pazienti, riprogrammandole: il trattamento è finito sotto i riflettori perchè, per la prima volta, ha fatto regredire la leucemia linfoblastica acuta, un tumore del sangue molto aggressivo e generalmente letale, in un paziente adulto già gravemente malato.
Tutte le tracce della patologia, spiegano i ricercatori del Memorial Sloan-Kettering Cancer Center di New York, autori dello studio pubblicato su 'Science Translational Medicine', sono scomparse in otto giorni. Tanto che gli stessi scienziati definiscono al di là delle previsioni una «risposta così profonda e rapida».
Il trattamento, va precisato, è sperimentale; è stato usato solo in un piccolo numero di pazienti e non ha avuto gli stessi effetti in tutti. Gli esperti, tuttavia, lo considerano un approccio promettente per una serie di tumori, inclusi altri tipi di neoplasie del sangue e di organo, come la prostata. I pazienti arruolati nello studio erano stati sottoposti a chemioterapia senza risultati e hanno tentato poi la via del nuovo trattamento.
La terapia cellulare sperimentata è simila a quella usata su una bimba di 7 anni, Emma Whitehead, che era in fin di vita e, circa un anno fa, ha visto regredire la sua malattia. Stesso approccio anche per un gruppo di adulti con leucemia cronica (con un trattamernto chemioterapico fallimentare alle spalle), per i quali si sono registrati risultati positivi.
Questi studi erano stati condotti dall'University of Pennsylvania e ricerche collegate erano state promosse anche dal National Cancer Institute. Ma la terapia cellulare non era mai stata provata negli adulti con leucemia linfoblastica acuta, una malattia che ha una percentuale di cura del 40% negli adulti, contro l'80-90% registrato nei bambini. Il trattamento consiste nell'estrarre le cellule T del sistema immunitario, che normalmente combattono i virus, dal sangue dei pazienti. Su queste cellule i ricercatori fanno un'operazione di ingegneria genetica: viene usato un virus disattivato come vettore per portare nuovo materiale genetico all'interno delle cellule, per riprogrammarle e renderle capaci di riconoscere e uccidere le cellule colpite dal tumore (i linfociti B, portatori di una particolare proteina sulla loro superficie).
|
Sabato prossimo in seminario una mattinata di sensibilizzazione su obesità e diabete con esperti e docenti universitari
La lotta contro l’obesità costituisce un problema di salute pubblica e l’Italia è il primo paese ad avere approvato nell’ottobre scorso ...
Leggi tutto |
 |
Lerochem amplia il portafoglio prodotti e rafforza la presenza nel mercato europeo dei prodotti chimici
Klaipeda - Lerochem, affermato fornitore di prodotti chimici specializzati, annuncia l’ampliamento del proprio portafoglio prodotti ...
Leggi tutto |
 |
BROXO svela il nuovo restyling del brand, valorizzando oltre cento anni di competenza nel sale per il trattamento dell’acqua
BROXO, uno dei principali marchi europei nel sale di alta qualità per il trattamento dell’acqua, annuncia un importante rinnovamento d...
Leggi tutto |
 |
STUDENTI DELL’I.C. “LOMBARDO RADICE – PAPPALARDO” DIVENTANO ESPLORATORI DELLA BELLEZZA E CUSTODI DEL TERRITORIO: AL VIA IL PROGETTO GIBELLINA CAPITALE ITALIANA DELL’ARTE CONTEMPORANEA
Ha preso ufficialmente il via, tra l’entusiasmo e la curiosità degli alunni, il progetto didattico “Alla scoperta di Gibellina e Selinunte: due...
Leggi tutto |
 |
Annunciati i vincitori della settima edizione dei “TRT World Citizen Awards”
Con il tema “Inspiring Positive Change”, i premi di quest’anno rendono omaggio a protagonisti del ...
Leggi tutto |
 |
Incontri di sensibilizzazione all’osservanza del Codice della Strada. Prefettura, USP, FFO, ASP ed Enti gestori delle strade incontrano gli studenti delle scuole secondarie.
Prosegue la progettualità di incontri di sensibilizzazione all’osservanza delle norme del Codice della Strada, organizzati dalla Prefettura di ...
Leggi tutto |
 |